Teeth Cleanings & Exams in Knoxville, TN
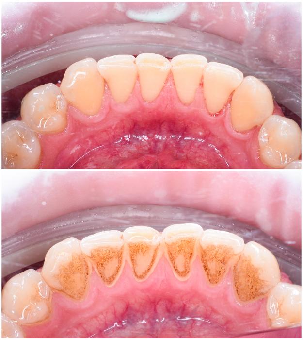
A bright, healthy smile boosts your confidence and is a joy to share with others. Yet, behind every sparkling smile is a commitment to regular dental checkups and teeth cleanings.
Has it been a while since your last dental visit? Are you just now understanding the importance of these appointments? At Bryant Family Dentistry, we pride ourselves on nurturing genuine relationships with our patients, where warmth and trust are our foundation. We offer an open door and a judgment-free environment filled with care and support.
The Crucial Role of Prevention in Dentistry
Our Knoxville dentists recommend dental checkups and cleanings every six months for most patients. That means just two appointments annually to enjoy the important benefits of prevention: 
- Protect you from extensive and invasive dental procedures by catching issues early.
- Spare you the discomfort of gingivitis and advanced gum disease.
- Minimize dental costs in the long term by preventing severe dental issues.
Equally important is that untreated periodontal (gum) disease is more than an oral health concern. Chronic inflammations are linked to several health conditions, including:
- Cardiovascular diseases
- Diabetes
- Stroke
- Respiratory infections
- Rheumatoid arthritis
- Alzheimer’s disease
- Low birthweight babies
professional cleaning a skilled dental hygienist provides.
Teeth Cleanings: Your Smile's Best Friend